
New Delhi: Fluoridated drinking water is not monitored everywhere; thus, children in particular can ingest too much fluoride. For this reason, a very simple rapid colour test to help determine fluoride concentration more easily in the future has been developed.
A research team at the University of Bath's Centre for Sustainable Chemical Technologies, and the Water Innovation and Research Centre (WIRC), led by Simon Lewis, developed a simple colour-changing test that detects high levels of fluoride quickly and selectively.
In this new test, a change in the colour of a paper strip immersed in a glass of water, for example, shows how much fluoride is dissolved in the water, similar to a litmus test to determine pH value. The concentration is indicated by yellow-green dots: the darker the dot, the more fluoride is present. In order to evaluate the colour change better than with the human eye, the test strip’s colour can also be detected with the built-in camera of a mobile phone.
Whilst the test is at the proof of concept stage, the team aims to develop it into a disposable test strip that is low cost and easy to use by anyone.
What exactly is fluoride testing?And what could be the possible reason behind the increased fluoride levels in drinking water?
Fluoride testing is carried out to investigate fluoride levels in water. Fluoride is a naturally occurring ionic compound (or salt) that is found in low levels in most bodies of water.
Levels of fluoride in drinking water are routinely monitored and controlled at treatment works in developed countries. However in areas of the world where there is no piped water system or treatment works, people rely on drawing untreated water from wells, which can often be contaminated with higher than recommended levels of fluoride.
The concentration of fluoride in water is also possibly affected by: weather events, (with levels fluctuating hugely when there is a lot of rain), climate, geology and contact with fluoride minerals and groundwater chemical composition. Fluoride is dissolved into water from the surrounding soils and rocks.
When water passes over certain minerals, it can dissolve fluoride, which results in elevated levels of fluoride in drinking water sources especially in parts of East Africa, India, China and North America.
Some research has shown that water temperature and hardness appears to influence the toxicity of fluoride, but more needs to be done to strengthen this relationship.
In unpolluted ocean waters the natural fluoride level is in the range of 1.3 to 1.4 mg/L. The levels are usually lower in estuarine areas due to dilution by fresh water, unless fluoride pollution is occurring upstream. Measuring fluoride in water is important as fluoride is toxic to humans and aquatic life. Fluoride is accumulated in the hard tissues of fish and shellfish, and then enters the food chain when the organisms are eaten.
Marine organisms can accumulate fluoride even at ambient ocean levels, and these accumulations increases noticeably when there are higher fluoride levels are present. As fluoride moves up the food chain, biomagnification occurs at about 1 order of magnitude per level.
Measuring fluoride in water especially close to industrial areas, for example aluminium smelting plants, is necessary to carefully monitor the levels of fluoride in drinking water that is produced in water processing plants.
Huge Population At Fluorosis Risk:
With drinking water in 14,132 habitations in 19 States still containing fluoride above the permissible levels, a huge population is at risk of serious health conditions such as skeletal fluorosis, as per the data of Health and Welfare Ministry.
Data collated by the ministry earlier revealed that, Rajasthan has the highest number of such habitations (7,670), affecting 48, 84,613 people. Telangana has 1,174 such districts with 19, 22,783 affected people. Karnataka has 1,122 such districts and Madhya Pradesh 1,055. Assam, Andhra Pradesh, Bihar, Chattisgarh, Maharashtra, Odisha, West Bengal and Uttar Pradesh too face the problem.
The World Health Organization guideline value for fluoride is 1.5 mg per litre, with a target of between 0.8 and 1.2 mg per litre to maximise benefits and minimise harmful effects.

Whilst low amounts of fluoride are beneficial for healthy teeth, high concentrations are dangerous for humans and can cause dental fluorosis, or skeletal fluorosis in extreme cases.
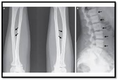
What is Skeleton Fluorosis?
This disease causes crippling deformities of the spine and joints, especially in children whose skeletons are still forming.
Skeletal fluorosis is a serious condition, resulting from chronic ingestion of large amounts of fluoride over many years during periods of bone modeling (growth) and/or remodeling.
Although the addition of fluoride to drinking water or toothpaste is widespread, and is mainly used for dental health and as a preventative measure against bone diseases; but opinions on fluoridation are controversial and an excessively high concentration of fluoride could lead to health problems.
Obvious symptoms of fluorosis, which occurs in developing countries in particular, are brown-yellow stains on the teeth and bones and also long-term excessive exposure causes abdominal pain, excessive saliva, nausea, vomiting, seizures and muscle spasms.
In early symptoms of skeletal fluorosis the bones are generally weaker than normal with stiffness and pain in the joints as the early symptoms. However, in severe cases, the bone structure may change and ligaments may calcify, with resulting impairment of muscles and pain.
Therefore, for all these serious reasons; the Bath's Centre research team has developed this simple colour-changing test that detects high levels of fluoride quickly and selectively.
Their study is recently published in the journal Chemical Communications.
This simple colour-changing test to detect fluoride in drinking water could in the future prevent the crippling bone disease, skeletal fluorosis, in developing countries such as India and Tanzania.
Meanwhile, the team is also looking for additional partners to take the technology forward and help develop the test. They are even working towards adapting the technology to other types of notorious water contaminants of global concern, including mercury, lead and cadmium etc.
References:
https://m.dailyhunt.in
http://www.business-standard.com
Azulene-boronate esters: colorimetric indicators for fluoride in drinking water - (http://pubs.rsc.org/en/Content/ArticleLanding/2017/CC/C7CC07416F#!divAbstract)
http://www.medindia.net
http://www.sciencedirect.com